当前位置:肿瘤瞭望>资讯>正文

异曲同工,双靶抗HER丨一例汉曲优联合帕妥珠单抗双靶治疗HER2阳性晚期乳腺癌的病例分享

作者:肿瘤瞭望   日期:2022/10/26 10:45:53  浏览量:12126

肿瘤瞭望版权所有,谢绝任何形式转载,侵犯版权者必予法律追究。

乳腺癌是全世界女性最常见的恶性肿瘤,2021年世界卫生组织(WHO)最新癌症报告显示,乳腺癌已超过肺癌,成为全球第一大癌症,严重威胁女性身体健康。

▌病例作者:张小三教授河南省肿瘤医院
▌点评专家:郭宏强教授河南省肿瘤医院
 
编者按:乳腺癌是全世界女性最常见的恶性肿瘤,2021年世界卫生组织(WHO)最新癌症报告显示,乳腺癌已超过肺癌,成为全球第一大癌症,严重威胁女性身体健康。HER2阳性乳腺癌侵袭性强、复发率高、预后不良。曲妥珠单抗的问世极大的改善了HER2阳性乳腺癌患者的预后和生存。汉曲优®作为国内首个上市的曲妥珠单抗生物类似药,疗效等同于原研曲妥珠单抗。本文通过一例晚期HER2阳性乳腺癌使用汉曲优+帕妥珠单抗联合化疗药物进行治疗的病例,阐述了国产曲妥珠单抗和帕妥珠单抗联合应用的显著疗效,同时该病例激素受体状态及HER2状态在诊疗过程中多次转变,充分体现了肿瘤的异质性,探讨了个体化治疗在肿瘤防治过程中的重要作用。(注:本文中汉曲优为复宏汉霖研发生产的曲妥珠单抗)
 
病史简介
 
患者:女,62岁
 
主诉:确诊左乳癌2年余。
 
生育史:已婚,G2P2。
 
现病史:(1)2018.12发现左侧乳房内有一肿块,约5.5cm大小,后肿块增大,于当地医院行“左乳肿块穿刺活检术”,病理示:左乳浸润性癌。我院病理会诊结果:左乳非特殊性浸润性癌,ER(<1%)、PR(<1%)、Ki-67(40%)、CerbB-2(3+),完善相关检查未见转移征象。
 
初步诊断:左乳腺癌cT3N0M0 HER2阳性型
 
(2)2019.03.05~06.22行“TCbH”方案新辅助治疗6周期(多西他赛+卡铂+曲妥珠单抗)。
 
(3)2019.07.12在全麻下行“左乳腺癌改良根治术+腋窝及胸壁任意皮瓣形成术”。
 
图1.术后病理
 
术后常规病理结果示:(左乳)见少许浸润性癌残留,组织学分级考虑Ⅱ级,肿物大小请结合化疗前其他临床检查。脉管癌栓(-),Miller-Payne分级3级。(乳头)未受累。(腋下淋巴结)0/20。
 
图2.免疫组化
 
▌术后免疫组化:
 
ER(约80%)、PR(约80%)、AR(<1%)、Ki-67(30%-40%)、CK5/6(-)、EGFR(-),CerbB-2(0)。
 
▌术后诊断:
 
左乳腺癌新辅助化疗后术ypT1cN0M0 Luminal B型
 
▌术后治疗:
 
患者因经济原因拒绝使用TDM1,继续曲妥珠单抗治疗至2020.01月;
 
2019.08.13至2019.9.19给予左胸壁+左锁骨区放疗48Gy/24f。
 
2019.08-2021.04.08口服来曲唑治疗。
 
2021.03月无诱因出现平卧位时气促、干咳、腹部胀痛、腰痛。
 
2021.04.05至荥阳市中医院查CT:1、左侧乳腺癌术后;2、双肺多发结节,转移可能,感染性病变待排;3、胸椎异常密度,转移可能;4、冠状动脉钙化;5、肝内多发低密度影。
 
2021.04.06至河南省肿瘤医院完善CT:双肺、肝、骨多发转移灶可能;ECT:全身多发骨质代谢异常,考虑多发骨转移。
 
▌肝肿物穿刺活检病理:
 
(肝穿刺)腺癌浸润/转移,结合病史及免疫组化并见提示乳腺来源可能。DFI:21个月。
 
▌体格检查:
 
一般状态尚可,ECOG评分2分,左侧锁骨上可触及一大小约1*1cm肿大淋巴结,质硬,无压痛,活动度差,与周围组织粘连。心肺腹部等查体无明显阳性体征。
 
▌实验室检查:
 
癌胚抗原(CEA):3830 ng/ml;肿瘤标记物(CA125):134 U/ml;
 
碱性磷酸酶(ALP):552 U/L;谷草转氨酶(AST):121 U/L;
 
谷丙转氨酶(ALT):113 U/L
 
▌影像学检查:
 
图3.骨扫描
 
2021年4月7日骨扫描:全身多发骨质代谢异常,考虑多发骨转移。
 
图4.肺窗
 
2021年4月7日双肺示:转移可能。
 
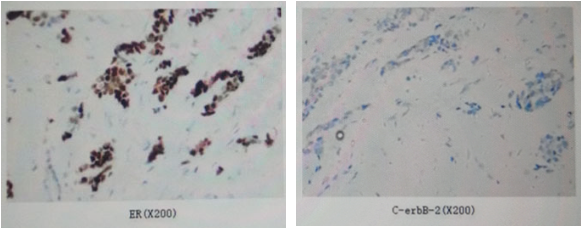
图5.肝脏穿刺病理及免疫组化
 
2021年4月9日肝脏穿刺病理及免疫组化:ACK7(+)、CK19(+)、GATA-3(弱+)、SOX-11(-)、GCDFP-15(+)、Mammaglobin(弱+)、AFP(-)、Hepatocyte(-)、Arg(-)、CK5/6(-)、ER(<1%)、PR(-)、CerbB2(3+)、Ki-67(+15%)
 
▌治疗前诊断:
 
左乳腺浸润性非特殊性癌,术后肝肺骨左侧锁骨上淋巴结转移Ⅳ期HER2阳性型
 
汉曲优治疗经过
 
2021.04.15开始行汉曲优(曲妥珠单抗400mg首次,随后300mg)+帕妥珠单抗首次(840mg,随后420mg)+白蛋白型紫杉醇(200mg D1,8),3周方案化疗8次,同时给予伊班膦酸钠每3周一次治疗。
 
▌治疗评估:
 
图6
 
图7
 
图8
 
图9
 
图10
 
图11
 
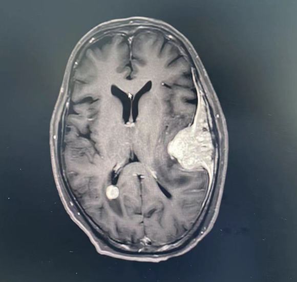
2022.05.27复查发现脑多发转移。
 
2022.05.30开始吡咯替尼+卡培他滨治疗(吡咯替尼400mg QD,卡培他滨片1.5g bid),患者头晕症状较前缓解,拟继续全身治疗,暂缓放疗,2022.06.08出院,2022.06.19死亡。
 
▌治疗回顾:
 

病例小结
 
乳腺癌患者术后复发转移、转移性乳腺癌患者进展后二次活检至关重要。ER、PR以及HER2状态原发病灶与转移病灶不一致的情况较为常见,因此,二次活检甚至可以说决定患者的治疗结局。
 
从机制上看,曲妥珠单抗+帕妥珠单抗联合应用,发挥双重抗HER2阻断作用,不仅阻断HER2自身形成同源二聚体,同时也阻断HER2受体与其他HER成员形成异源二聚体,作用机制互补,联合应用协同增效。目前多项临床研究证实新辅助应用双靶的疗效优于单靶。在CSCO-BC指南中,HER2阳性晚期乳腺癌一线首选方案为THP双靶治疗方案,有效率高,耐受性好,生存期长。曲妥珠单抗生物类似药(汉曲优)疗效可靠,安全性高,可作为患者治疗的选择。
 
病例点评
 
HER2阳性乳腺癌侵袭性强、复发率高,预后不良。对于HER2阳性晚期乳腺癌,目前抗HER2药物包括大分子单抗(如曲妥珠单抗、帕妥珠单抗)、小分子TKI(如吡咯替尼、拉帕替尼、奈拉替尼、图卡替尼)及抗体偶联药物(如T-DM1、T-DXd),基于多项临床研究结果及多项指南推荐,以曲妥珠单抗为基础的抗HER2治疗仍然是HER2阳性晚期乳腺癌一线治疗的标准治疗[1-2]
 
曲妥珠单抗为大分子单克隆抗体,作用于HER2蛋白的胞外区,在1998年引入到HER2阳性乳腺癌的治疗之后,使得HER2阳性晚期乳腺癌患者的生存率得到了显著改善。生物类似药是指在质量、安全性和有效性方面与已获准注册的参照药具有相似性的治疗用生物制品。汉曲优作为国内首个中欧同步上市的曲妥珠单抗生物类似药,其Ⅲ期临床研究结果显示汉曲优与原研曲妥珠单抗疗效等效,安全性、免疫原性相似[3]。汉曲优为不含防腐剂的小规格药物,解决了患者顾虑、减轻了护理人员工作量。目前曲妥珠单抗生物类似药也得到NCCN指南、ESMO指南、CACA-CBCS指南的推荐[4-6]
 
该例患者既往术前经TCbH方案新辅助治疗,术后HER2由阳性转为阴性,术后继续赫赛汀治疗至近1年,而ER、PR由新辅助治疗前的阴性转为阳性,术后抗HER2的同时联合来曲唑辅助治疗,复发转移后肝穿刺活检再次免疫组化再次转变为HR阴性HER2阳性乳腺癌,同时发现肺骨等多发转移,考虑到患者辅助治疗结束后复发转移时间超过12个月,因此一线按标准推荐给与TPH方案治疗,而H选择了国产的生物类似药汉曲优,TTP超过12个月,达到了很好的疗效,治疗过程中未见明显治疗相关反应,也充分证实了国产生物类似药的有效性及安全性。该患者的激素受体状态及HER2状态在整个病程中多次发生转变,充分体现了肿瘤的异质性,也再次提示我们复发转移后的多次活检的重要性。另外,该患者全身状态控制良好的情况下最终死于脑转移,也提示我们一线应用抗HER2的大分子单抗治疗过程中,脑转移往往是疾病进展的部位,需要高度警惕,最新公布的PHILA研究所应用的曲妥珠单抗联合小分子TKI的模式对于该问题是否是更好的解决途径值得进一步探讨和临床实践的检验。
 
参考文献
 
[1]Figueroa-Magalhães MC,Jelovac D,Connolly R,Wolff AC.Treatment of HER2-positive breast cancer.Breast.2014 Apr;23(2):128-136.
 
[2]Pernas S,Tolaney SM.Clinical trial data and emerging strategies:HER2-positive breast cancer.Breast Cancer Res Treat.2022 Apr 9.
 
[3]生物类似药研发与评价技术指导原则(试行)
 
[4]NCCN Clinical Practice Guidelines in Oncology(NCCN Guidelines®)Breast Cancer,NCCN Guidelines for Patients®available at www.nccn.org/patients.2022.Version 2.2022
 
[5]Cardoso,F.,et al.,5th ESO-ESMO international consensus guidelines for advanced breast cancer(ABC 5).Ann Oncol,2020.31(12):p.1623-1649
 
[6]中国抗癌协会乳腺癌专业委员会,中国抗癌协会乳腺癌诊治指南与规范(2021版)
 
病例作者简介
张小三教授
河南省肿瘤医院肿瘤内科副主任医师、医学博士
河南省健康科技协会乳腺癌专业委员会委员
河南省医学会肿瘤分会青年委员
河南省抗癌协会化疗专业委员会青年委员
河南省抗癌协会肿瘤康复委员会青年委员
病例点评专家简介
郭宏强教授
博士,河南省肿瘤医院内科行政副主任,乳腺淋巴综合内科主任
国家淋巴瘤质控专家委员会委员
CSCO罕见肿瘤专家委员会委员
河南省医学会肿瘤医学分会乳腺癌学组组长
河南省抗癌协会化疗专业委员会常委
河南省抗癌协会分子医学专业委员会副主任委员
河南省中西医结合学会仲景传承与创新分会青年副会长
北京健康促进会乳腺癌防治专家委员会常委
河南省抗癌协会靶向治疗专业委员会常委
河南省抗癌协会肿瘤精准诊断与治疗专业委员会常委
南方肿瘤临床研究协会(CSWOG)理事
获得国家自然科学基金1项,中华国际医学交流基金会合作项目1项,省卫生厅项目1项参与编著《淋巴瘤诊断与治疗学》两部

本内容仅供医学专业人士参考


乳腺癌

分享到: 更多