当前位置:肿瘤瞭望>资讯>正文

“双靶”出击,异曲同优丨一例汉曲优联合帕妥珠单抗新辅助治疗HER2阳性乳腺癌的病例分享

作者:肿瘤瞭望   日期:2022/11/8 12:32:51  浏览量:11873

肿瘤瞭望版权所有,谢绝任何形式转载,侵犯版权者必予法律追究。

2020年世界卫生组织国际癌症研究机构发布的数据显示,乳腺癌已超越肺癌成为全球新发病例数最高的癌症类型,中国女性乳腺癌的发病人数及死亡人数均居世界首位。

▌病例作者:富泽龙天津市中心妇产科医院
▌点评专家:肖春花天津医科大学肿瘤医院
 
编者按:2020年世界卫生组织国际癌症研究机构发布的数据显示,乳腺癌已超越肺癌成为全球新发病例数最高的癌症类型,中国女性乳腺癌的发病人数及死亡人数均居世界首位。HER2阳性乳腺癌大约占所有乳腺癌类型的20%,其侵袭性强、复发率高、预后不良。曲妥珠单抗的问世极大的改善了HER2阳性乳腺癌患者的预后和生存。汉曲优®是首个由中国企业开发、生产和上市的曲妥珠单抗生物类似药,也是首个成功登陆欧盟的“中国籍”单抗生物类似药,其通过国际多中心的Ⅲ期临床试验证实了与原研曲妥珠单抗相比疗效等同、安全性相似。汉曲优®的上市和临床应用大大提高了曲妥珠单抗的可及性。本文通过介绍一例局部晚期的HER2阳性乳腺癌患者在新辅助治疗阶段使用汉曲优®联合帕妥珠单抗进行靶向治疗,并在术后病理显示达到了病理学完全缓解的病例,证实了“中国籍”曲妥珠单抗在抗HER2靶向治疗中的显著疗效。(注:本文中汉曲优®为复宏汉霖研发生产的曲妥珠单抗)
 
病史简介
 
患者:女,62岁,56kg。
 
主诉:右乳肿物10月余。
 
婚育月经史:已婚,G2P1,已绝经。
 
既往史及家族史:无高血压、糖尿病等慢性病史;否认肿瘤家族史。
 
查体:ECOG 1分,双乳对称,右乳中央偏外可触及8.0×8.5cm肿物,质硬,边界不清,活动差。右乳头可见破溃。双侧颈部、双锁骨上、双腋下未及明显肿大淋巴结。
 
▌影像学检查:
 
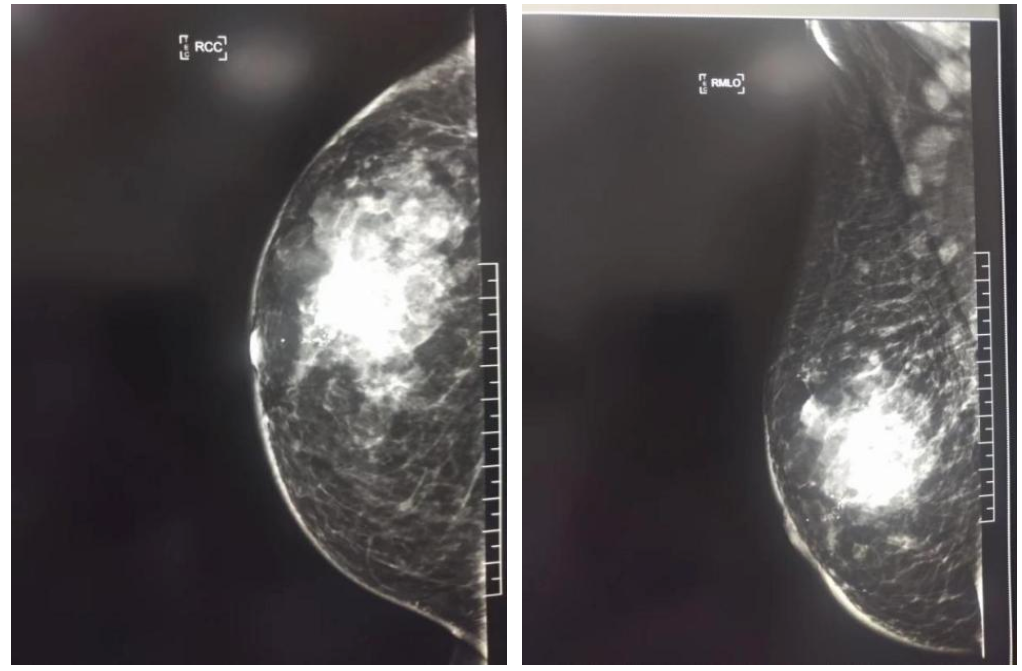
2021年12月8日,双侧乳腺钼靶影像表现:右乳外上可见高密度肿物影,大小约6.7×6.2cm,形态不规则,密度不均匀,边缘可见分叶,另可见粗大钙化,皮肤增厚,乳头未见异常;左乳末见异常。右腋下可见增大淋巴结,最大者短径约1.7cm,左侧腋下可见小淋巴结。印象:右乳恶性肿瘤伴腋下淋巴结转移,BI-RADS分级为5级。
 
图1.右乳及右腋下钼靶
 
2021年12月8日,双侧乳腺超声:双乳腺体清晰,回声欠均,结构紊乱,导管增粗,可见片状低回声区,腺体厚度:左1.5cm,右1.5cm。
 
右乳上方可见一低回声区,大小:1.7×1.4cm,边界欠清,形态不规则,回声欠均匀,未见明显血流信号。右乳外侧可见一低回声区,范围4.9×3.8×3.6cm,边界不清,形态不规则,内夹杂液性暗区及点状颗粒,血流呈点状。
 
右乳多发低回声区(BI-RADS:4b,炎症伴积脓待除外)双乳腺体增生(BI-RADS:2)。
 
2021年12月10日,乳腺核磁影像表现:左乳明显变形,其内可见多发结节及肿块影,大小不等。最大者约6.3×4.8×5.1cm。形态不规则,信号不均匀,边缘可见分页周围腺体结构紊乱。累计临近皮肤,皮肤明显不规则增厚。
 
诊断:1、右乳恶性肿瘤(多灶),局部累及皮肤伴右腋下淋巴结转移(BI-RADS:6)。2、左乳腺体增生。3、左腋下多发小淋巴结。
 
图2.双侧乳腺核磁
 
2021年12月10日,胸腹部CT:未见脏器转移。
 
肿物穿刺活检:2021年12月09日行右乳及右腋下肿物穿刺活检:浸润性癌,伴微乳头状癌。免疫组化:ER(-),PR(-),AR(+),HER2(3+),Ki67(70%+),p53(+)。
 
图3.右乳肿物穿刺组织HER2免疫组化染色
 
初步诊断:右乳癌(cT4aN1M0ⅢB期),HER2过表达型。
 
治疗经过及疗效评估
 
▌新辅助治疗:
 
2021年12月-2022年04月:患者行TCbHP治疗,q3w×6周期,具体为:多西他赛(75mg/m2,d1,ivgtt)+卡铂(700mg,d1,ivgtt)+曲妥珠单抗(汉曲优®,首次8mg/mg d2,后续6mg/kg,ivgtt)+帕妥珠单抗(首次840mg d2,后续420mg,ivgtt)。
 
▌新辅助治疗后影像学评估结果如下:
 
 
2022年04月14日全麻下行右乳癌改良根治术。
 
图4.术后病理镜下图片
 
术后病理结果:(腺浸润性癌,伴微乳头状癌,新辅助化疗后,乳腺切除标本)1、(右侧)残存乳腺内未见明确癌组织,可见低级别导管原位癌及肉芽肿性炎,符合化疗后改变;未见明确脉管内癌栓:乳腺癌新辅助化疗Mi11er-Payne(MP)分级约G5级,(瘤床部位未见浸润性癌细胞,但可存在导管原位癌);2、乳头(-),内上、内下象限未见明确癌组织;3、(右乳区段淋巴结)未见明确转移癌0/25(腋窝:0/12,腋尖:0/4,脉管:0/3,右1水平淋巴结:0/6)。免疫组化:导管原位癌区域:导管内:CK5/6(-),Calponin(-),CD10(-),p63(-)。
 
术后病理分期:ypTisN0M0;病理评估结果为病理完全缓解(pCR)。
 
▌后续治疗方案:
 
术后区域放疗,继续曲妥珠单抗(汉曲优®)+帕妥珠单抗靶向治疗至完成1年。
 
病例小结
 
该患者为局部晚期乳腺癌,但未发现远处转移。依据国内外权威指南,该患者需要通过新辅助治疗降期,变不可手术为可手术。并且患者肿瘤分子分型为HER2阳性,属于新辅助治疗敏感型,根据CTNeoBC荟萃分析结果显示,HER2阳性乳腺癌患者新辅助治疗如果达到pCR,可以取得生存获益[1]。依据NeoSphere研究,国内外权威指南均推荐此类患者新辅助治疗方案首选HP双靶联合化疗[2]。TRAIN-2研究显示TCbPH方案对于HR阴性HER2阳性型乳腺癌的新辅助治疗的pCR率可达84%[3]。因此,我们选择了TCbPH方案作为该例患者的新辅助治疗方案。最终,患者新辅助治疗效果非常好,术后乳腺癌新辅助化疗Mi11er-Payne(MP)分级约G5级,腋窝淋巴结也达pCR,总体评估达到了tpCR,预示着该患者将得到远期生存获益。
 
专家点评
 
1、曲帕双靶在HER2阳性乳腺癌新辅助治疗中的重要地位
 
乳腺癌患者进行新辅助治疗的目的之一是将不可手术的患者降期为可手术患者。对于可手术乳腺癌的定义,根据NCCN指南的划分标准,将Ⅰ期、Ⅱ期和T3N1M0定义为可手术乳腺癌,将N2和(或)T4及以上定义为不可手术乳腺癌[4]。本案例的患者为局部晚期的乳腺癌患者,临床分期为ⅢB期(cT4aN1M0),属于推荐新辅助治疗的优选人群。
 
对于HER2阳性乳腺癌患者,曲妥珠单抗联合帕妥珠单抗的双靶组合已经成为国内外指南的首要推荐。依据来源于几项重要的研究,例如:NeoSphere研究[2]证实了曲妥珠单抗+帕妥珠单抗+多西他赛双靶组较曲妥珠单抗+多西他赛单靶组可以显著提高患者pCR率(45.8%vs 29.0%,P=0.0141)。中国桥接试验PEONY研究[5]进一步验证了NeoSphere研究结果,证实了THP方案在亚洲人群应用的安全性和有效性。TRAIN-2研究[3]显示与含蒽环方案相比,TCbHP方案可以获得相同的pCR率,且中性粒细胞减少等毒性反应的发生率更低。因此,2022年CSCO-BC指南[6]以及2021年CBCS-BC[7]均将TCbHP方案作为了首选。本例患者为不可手术患者,在第一时间采用曲帕双靶治疗具有重要意义,所以选择TCbHP方案是合理的,并证实了有效性。
 
2、曲妥珠单抗生物类似药汉曲优®与帕妥珠单抗联合用药,疗效显著,耐受性良好
 
汉曲优®是首个由中国企业开发、生产和上市的曲妥珠单抗生物类似药,也是首个成功登陆欧盟的“中国籍”单抗生物类似药,其通过国际多中心的Ⅲ期临床试验证实了与原研曲妥珠单抗相比疗效等同、安全性相似[8]。汉曲优®的上市和临床应用大大提高了曲妥珠单抗的可及性。目前,曲妥珠单抗生物类似药已经得到包括NCCN指南[9]、ESMO指南[10]、CACA-CBCS指南[7]及CSCO-BC指南[6]等国内权威指南的明确推荐,并深入解读了生物类似药与原研产品疗效等同、安全性相似,临床上可以替代使用。本案例中采用的曲妥珠单抗即为国产的曲妥珠单抗汉曲优®,其与帕妥珠单抗联合用于乳腺癌的新辅助治疗,患者由不可手术降期为可手术,术后病理达到了pCR,临床疗效显著,且汉曲优®与帕妥珠单抗联合使用患者安全性良好,未出现双靶治疗中常见的不良反应如血小板减少、发热或肌肉/关节疼痛等。该临床病例也充分印证了生物类似药在临床上可以替代使用。
 
参考文献
 
[1]von Minckwitz G,Untch M,Blohmer JU,et al.Definition and impact of pathologic complete response on prognosis after neoadjuvant chemotherapy in various intrinsic breast cancer subtypes.J Clin Oncol.2012 May 20;30(15):1796-804.
 
[2]Gianni L,Pienkowski T,Im YH,et al.Efficacy and safety of neoadjuvant pertuzumab and trastuzumab in women with locally advanced,inflammatory,or early HER2-positive breast cancer(NeoSphere):a randomised multicentre,open-label,phase 2 trial.Lancet Oncol.2012 Jan;13(1):25-32.
 
[3]van Ramshorst MS,van der Voort A,van Werkhoven ED,et al.Dutch Breast Cancer Research Group(BOOG).Neoadjuvant chemotherapy with or without anthracyclines in the presence of dual HER2 blockade for HER2-positive breast cancer(TRAIN-2):a multicentre,open-label,randomised,phase 3 trial.Lancet Oncol.2018 Dec;19(12):1630-1640.
 
[4]中国乳腺癌新辅助治疗专家组.中国乳腺癌新辅助治疗专家共识(2019年版)[J].中国癌症杂志,2019,29(5):11.
 
[5]SHAO Z,PANG D,YANG H,et al.Efficacy,Safety,and Tolerability of Pertuzumab,Trastuzumab,and Docetaxel for Patients With Early or Locally Advanced ERBB2-Positive Breast Cancer in Asia:The PEONY Phase 3 Randomized Clinical Trial[J].JAMA Oncol,2020,6(3):e193692.
 
[6]中国临床肿瘤学会指南工作委员会.乳腺癌诊疗指南2022版[J].2022
 
[7]中国抗癌协会乳腺癌专业委员会,中国抗癌协会乳腺癌诊治指南与规范(2021版)
 
[8]XU B,ZHANG Q,SUN T,et al.Efficacy,Safety,and Immunogenicity of HLX02 Compared with Reference Trastuzumab in Patients with Recurrent or Metastatic HER2-Positive Breast Cancer:A Randomized Phase III Equivalence Trial[J].BioDrugs,2021.
 
[9]NCCN Clinical Practice Guidelines in Oncology(NCCN Guidelines®)Breast Cancer,NCCN Guidelines for Patients®available at www.nccn.org/patients[J].2021,Version 1.2021—January 15,2021.
 
[10]CARDOSO F,PALUCH-SHIMON S,SENKUS E,et al.5th ESO-ESMO international consensus guidelines for advanced breast cancer(ABC5)[J].Ann Oncol,2020,31(12):1623-1649.
 
病例作者简介
 
 
富泽龙教授
 
天津市中心妇产科医院乳腺科副主任医师,硕士
 
中国妇幼保健协会乳腺分会委员
 
北京妇幼保健与优生优育协会委员
 
中国妇幼保健协会医疗美容专业委员会委员
 
病例点评专家简介
 
 
肖春花教授
 
天津医科大学肿瘤医院主任医师,医学博士,硕士研究生导师
 
中国抗癌协会乳腺癌专业委员会委员
 
2009年赴美国MD Anderson癌症中心访问1年。从事乳腺肿瘤外科专业二十余年,以第一作者或通讯作者在国内外高水平杂志发表本专业文章30余篇。承担及参与完成国家自然科学基金课题四项,参与完成天津市科委课题两项,参与获得教育部科技成果二等奖一项,独立完成天津市科委课题成果鉴定一项,参与获得天津市科委科技成果三等奖一项。

本内容仅供医学专业人士参考


乳腺癌

分享到: 更多